همهچیز در مورد تورم دردناک، در مفصل اولین انگشت پا

انگشت پا از کلیدیترین و حساسترین عضوهایی از بدن است که ممکن است تحت تأثیر قرار گیرد و آسیب ببیند. تورم دردناک انگشت پا ناشی از یک ضربه بر استخوان است که بر روی مفصل ایجاد میشود و در آن انگشت شست پا شما بزرگتر میشود و نام این عارضه متاتارسوفالانگه (MTP) میباشد. این امر بهآرامی در طول زمان اتفاق میافتد و درنهایت بزرگتر میشود و باقی میماند. این مورد بهنوبه خود میتواند باعث بزرگ شدن انگشت پا شود تا آنجا که گاهی اوقات در بالای انگشت پا و یا در کنار آن حرکت میکند.
علائم تورم دردناک در انگشت پا
واضحترین نشانه وجود یک توده بزرگ در مفصل پا میباشد؛ که ممکن است قرمز، متورم و آسیبدیده باشد. همچنین شما بهسختی میتوانید انگشتان پا بهخصوص انگشت بزرگ آن را تکان دهید.
دلایل به وجود آمدن این عارضه
شرایطی که باعث ایجاد تورم دردناک انگشت پا و آسیب به مفصل میشود مانند آرتریت روماتوئید میتواند منجر به درد در مفصل پا شود. کفشهای نامناسب بخصوص اگر انگشتان پا را اذیت کنند، همچنین بسیاری از مردم برای داشتن کفشهای اندازه از کفشهای تنگ استفاده میکنند که منجر به این بیماری میشود.
نوجوانان مبتلابه این بیماری
این بیماری اغلب در دختران بین ۱۰ تا ۱۵ سال اتفاق میافتد، اما پسران نیز میتوانند مانند آنها مبتلا شوند. پزشکان دقیقاً مطمئن نیستند که چرا دختران بیشتر مبتلا میشوند، اما ممکن است تغییراتی در کفشها باعث ایجاد آن باشد. برخلاف بزرگسالان، جوانانی که دارای این بیماری هستند معمولاً میتوانند انگشتان پای خود را حرکت دهند، اما هنوز هم احتمال صدمه وجود دارد.
تورم دردناک، در مفصل آخرین انگشت پا
اینیک نوع تورم بر روی مفصل است که بر روی مفصل آخرین انگشت پا اتفاق میافتد.
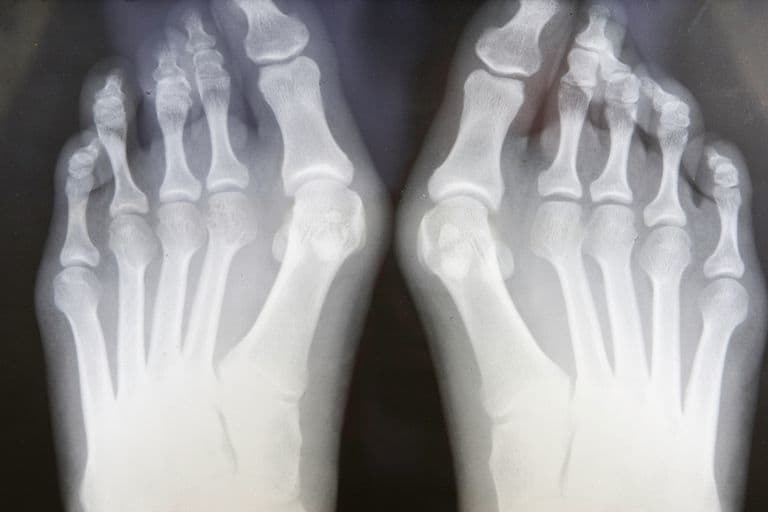
تشخیص
پزشک شما احتمالاً میتواند فقط با نگاه کردن بهپایخود به شما بگوید که مشکل چیست، او میخواهد فقط یک آزمایش با اشعه ایکس را انجام دهید تا ببیند آیا مفصل آسیبدیده است یا خیر. همچنین میتوانید به شما بگوید که چقدر مشکل شما جدی است و احتمالاً چه چیزی باعث آن شده است که میتواند به تصمیم او برای چگونگی درمان کمک کند.
درمان: تغییر کفش
ممکن است شما بهتمامی راههای مدیریت درمان این بیماری نیاز داشته باشید. پزشک شما میتواند در انتخاب کفش مناسب به شما کمک کند. آنها باید دارای فضای مناسب برای انگشتان پا و پاشنه باشند. کفشهای دارای پاشنهبلند باعث ایجاد فشار بر روی قسمت جلویی پا میشود. از پوشیدن کفشهای پاشنه بلند و تنگ که باعث جمع شدن پا میشوند خودداری کنید.
درمان: یخ
برای تسکین درد و تورم، یک کیسه سبزیهای یخزده یا یخ خردشده را در یک حوله قرار دهید و آن را روی محل آسیب خود قرار دهید. اطمینان حاصل کنید که آن را بیش از ۲۰ دقیقه روی محل آسیب قرار ندهید این میتواند باعث یخ بستن پا شود زیرا پای شما بافت و عضله کمتری نسبت به سایر قسمتهای بدن دارد. اگر دچار آسیب عصبی یا مشکلات گردش خون هستید، قبل از قرار دادن یخ روی پاها، با پزشک خود صحبت کنید.
درمان: بستن
پدهای ویژه میتوانند محل آسیبدیده را با بستن بهبود بخشند. اما برای اولین استفاده با پزشک خود صحبت کنید یا آن را برای مدت کوتاهی بهصورت آزمایشی امتحان کنید تا ببینید آیا کمکی میکند. اگر این کار اشتباه باشد، میتواند فشار را افزایش دهد و مشکلات بیشتری ایجاد کند.
درمان: دارو
داروهای ضدالتهاب مانند استامینوفن، ایبوپروفن یا ناپروکسن میتوانند به تورم و درد کمک کنند. اگر بیماری شما به علت آرتریت یا یک بیماری دیگر ایجاد شود، پزشک ممکن است برای آن دارو نیز تجویز کند.
درمان: جراحی
اگر درمانهای دیگر برای شما مفید نبود، پزشک ممکن است عمل جراحی را انجام دهد تا انگشت شست شمارا درست کند. پزشکان معمولاً این کار را در نوجوانی توصیه نمیکنند، زیرا پا هنوز در حال رشد است و اغلب بیماری بازمیگردد.
عوارض: آماس و تورم مفصلی
در این حالت یک کیسهپر شده با مایع، به نام بورسا، با استخوانی در نزدیکی مفصل در بالای انگشت پا ایجاد میگردد. وقتی مفصل به دلیل این بیماری بزرگتر میشود، بورسا میتواند متورم و دردناک شود. این حتی میتواند آسیب بیشتری برساند و ممکن است به بافت نرم که مفصل را تحت پوشش قرار میدهد، به نام غضروف آسیب برساند. همچنین میتواند منجر به آرتریت شود.
عوارض: متاتارسالژی
این بیماری مربوط به زمانی است که پاشنه پای شما متورم میشود و درد میکند؛ که تورم در مفصل انگشت پا میتواند علت آن باشد و کفشهایی که بیشازحد تنگ و یا خیلی سست هستند میتواند آن را بدتر کند. احتمالاً اگر شما بیشتر با آن بپرید مانند مواقعی که بسکتبال بازی میکنید درد آن بیشتر میشود.
عوارض: خمیدگی انگشت پا به پایین
تورم دردناک، در مفصل اولین انگشت پا میتواند به علت خمش در مفصل میانی، دوم، سوم یا چهارم پای شما باشد که نباید وجود داشته باشد. این اتفاق زمانی میافتد که عضلات و تاندونها از موقعیت خارج میشوند. کفش مناسب میتواند به شما کمک کند، اما اگر شما دچار مشکلات جدی باشید، ممکن است پزشک شما عمل جراحی را توصیه کند.
منبع: Webmed
این مقاله توسط داروباکس به صورت اختصاصی، ترجمه و تالیف شده است.














